
A vesekő kicsi, kemény lerakódás, amely a vesékben képződik. A kövek ásványi és savas sókból állnak. A veseköveknek számos oka lehet, és a húgyutak bármely részét érintheti – a vesétől a hólyagig. Gyakran kövek képződnek, amikor a vizelet koncentrálódik, lehetővé téve az ásványi anyagok kristályosodását és összetapadását.
A vesekövek áthaladása meglehetősen fájdalmas lehet, de a kövek általában nem okoznak maradandó károsodást.
Az Ön helyzetétől függően előfordulhat, hogy nem kell másra, mint fájdalomcsillapítóra és sok vizet inni a vesekő eltávolításához. Más esetekben műtétre lehet szükség. Orvosa megelőző kezelést javasolhat a kiújuló vesekő kialakulásának kockázatának csökkentése érdekében, ha nagyobb a kockázata annak, hogy újra kialakulnak.
Előfordulhat, hogy a vesekő nem okoz tüneteket, amíg meg nem mozog a vesében, vagy át nem jut az ureterbe – a vesét és a hólyagot összekötő csőbe.
Vesekő Jelek és vesekő tünetek:

A Vesekő tünetei szerteágazók lehetnek, például
- Fájdalom vizelés közben
- Súlyos fájdalom az oldalon és a háton, a bordák alatt
- fájdalom, amely az alsó hasra és az ágyékra terjed
- Fájdalom, amely hullámokban jön, és intenzitása ingadozik
- Rózsaszín, vörös vagy barna vizelet
- Zavaros vagy bűzös vizelet
- Hányinger és hányás
- Tartós vizelési inger
- A szokásosnál gyakrabban vizelés
- Vesekő tünetei hez tartozhat a láz és hidegrázás, ha fertőzés van jelen
- A vesekő által okozott fájdalom megváltozhat – például más helyre tolódik vagy fokozódik –, ahogy a kő áthalad a húgyutakon.
Vesekő tünetei, azonnal forduljon orvoshoz, ha azt tapasztalja:
Olyan erős fájdalom, hogy nem tud nyugodtan ülni vagy kényelmes testhelyzetet találni
Fájdalom, amelyet hányinger és hányás kísér
Fájdalom lázzal és hidegrázás kíséretében
Vér a vizeletben
Vizeletürítési nehézség
A vesekövek okai
A veseköveknek gyakran nincs határozott, egyetlen oka, bár számos tényező növelheti a kockázatát.
A vesekövek akkor képződnek, amikor a vizelet több kristályképző anyagot – például kalciumot, oxalátot és húgysavat – tartalmaz, mint amennyit a vizeletben lévő folyadék fel tud hígítani. Ugyanakkor előfordulhat, hogy vizeletében hiányoznak az olyan anyagok, amelyek megakadályozzák a kristályok összetapadását, ideális környezetet teremtve a vesekövek kialakulásához.
A vesekövek típusai
A vesekő típusának ismerete segít meghatározni az okot, és támpontokat adhat arra vonatkozóan, hogyan csökkentheti a vesekő kialakulásának kockázatát.
A vesekövek típusai a következők:

- Kalcium kövek. A legtöbb vesekő kalciumkő, általában kalcium-oxalát formájában. Az oxalát az élelmiszerekben előforduló, természetesen előforduló anyag. Egyes gyümölcsök és zöldségek, valamint a diófélék és a csokoládé magas oxalátszinttel rendelkeznek. A mája oxalátot is termel. Az étrendi tényezők, a nagy dózisú D-vitamin, a bél bypass műtét és számos anyagcsere-rendellenesség növelheti a vizelet kalcium vagy oxalát koncentrációját. A kalciumkövek kalcium-foszfát formájában is előfordulhatnak.
- Struvit kövek. A struvit kövek fertőzésre, például húgyúti fertőzésre válaszul képződnek. Ezek a kövek gyorsan növekedhetnek és meglehetősen nagyokká válhatnak, néha kevés tünettel vagy kevés figyelmeztetéssel.
- Húgysav kövek. Húgysavkövek alakulhatnak ki azoknál az embereknél, akik nem isznak elég folyadékot vagy túl sok folyadékot veszítenek, akik magas fehérjetartalmú étrendet folytatnak, és akik köszvényben szenvednek. Bizonyos genetikai tényezők szintén növelhetik a húgysavkövek kockázatát.
- Cisztin kövek. Ezek a kövek olyan örökletes rendellenességben szenvedőkben képződnek, amelyek miatt a vesék túl sok bizonyos aminosavat választanak ki (cystinuria).
- Egyéb kövek. Más, ritkább típusú vesekő is előfordulhat.
Vesekő Kockázati tényezők- A vesekő kialakulásának kockázatát növelő tényezők a következők:
- Családi vagy személyes előfordulás. Ha valakinek a családjában vesekő van, akkor nálad is nagyobb eséllyel alakulnak ki vesekövek. És ha már volt egy vagy több vesekő, nagyobb a kockázata egy másik kialakulásának.
- Felnőtt kor. A vesekő leggyakrabban a 40 éves vagy annál idősebb felnőtteknél fordul elő, bár a vesekő bármely életkorban előfordulhat.
- Férfinak lenni. A férfiaknál nagyobb valószínűséggel alakul ki vesekő, bár egyre több nőnél alakul ki vesekő.
- Kiszáradás. Ha nem iszik elég vizet minden nap, növelheti a vesekő kialakulásának kockázatát. A meleg éghajlaton élők és azok, akik sokat izzadnak, nagyobb kockázatnak vannak kitéve, mint mások.
- Bizonyos diéták. A magas fehérje-, nátrium- és cukortartalmú étrend növelheti bizonyos típusú vesekő kialakulásának kockázatát. Ez különösen igaz a magas nátriumtartalmú étrendre. Az étrendben túl sok nátrium növeli a vesék által kiszűrt kalcium mennyiségét, és jelentősen növeli a vesekő kialakulásának kockázatát.
- Elhízott. A magas testtömeg-indexet (BMI), a nagy derékbőséget és a súlygyarapodást összefüggésbe hozzák a vesekő kialakulásának fokozott kockázatával.
- Emésztőrendszeri betegségek és műtétek. A gyomor-bypass műtét, a gyulladásos bélbetegség vagy a krónikus hasmenés olyan változásokat okozhat az emésztési folyamatban, amelyek befolyásolják a kalcium és a víz felszívódását, növelve a kőképző anyagok szintjét a vizeletben.
- Egyéb egészségügyi állapotok. A vesekő kialakulásának kockázatát növelő betegségek és állapotok közé tartozik a vesetubuláris acidózis, a cisztinuria, a hyperparathyreosis, bizonyos gyógyszerek és egyes húgyúti fertőzések.
Vesekő Vizsgálatok és diagnózis
Vesekő gyanúja esetén diagnosztikai vizsgálatokat és eljárásokat végeznet, mint például:

- Vérvétel. A vérvizsgálatok túl sok kalciumot vagy húgysavat mutathatnak ki a vérében. A vérvizsgálati eredmények segítenek nyomon követni veséi egészségét, és arra késztethetik kezelőorvosát, hogy más egészségügyi állapotokat is megvizsgáljon.
- Vizeletvizsgálat. A vizeletvizsgálatok, például a 24 órás vizeletgyűjtés azt mutathatják, hogy túl sok kőképző ásványi anyagot választ ki, vagy túl kevés kőképződést gátló anyagot.
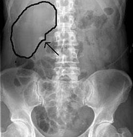
- Képalkotó tesztek. A képalkotó vizsgálatok veseköveket mutathatnak a húgyúti rendszerben. A lehetőségek az egyszerű hasüregi röntgentől, amelyből hiányozhatnak a kis vesekövek, a nagy sebességű számítógépes tomográfiáig (CT), amely még az apró köveket is feltárhatja. További képalkotó lehetőségek közé tartozik az ultrahang, a nem invazív teszt és az intravénás pyelográfia, amely magában foglalja a festék befecskendezését a kar vénájába, és röntgenfelvételeket készít, miközben a festék áthalad a vesén és a hólyagon.
- Az átadott kövek elemzése. Előfordulhat, hogy megkérik, hogy vizeljen egy szűrőn keresztül, hogy felfogja a kövek, amelyeket áthalad. A laboratóriumi elemzés felfedi a vesekő összetételét. Kezelőorvosa ezeket az információkat arra használja fel, hogy megállapítsa, mi okozza a veseköveket és a kezeléseket.
Kis kövek minimális tünetekkel
A legtöbb vesekő nem igényel invazív kezelést. Lehetséges, hogy a kis kő magától eltávozik:
Vizet kell inni. Napi 2-3 liter (1,9-2,8 liter) ivása segíthet a húgyúti rendszer kiürülésében. Hacsak orvosa másképp nem rendeli, igyon elegendő folyadékot – főleg vizet – ahhoz, hogy tiszta vagy csaknem tiszta vizelet keletkezzen.
Fájdalomcsillapítók. Egy kis kő elhaladása kellemetlenséget okozhat. Az enyhe fájdalom enyhítésére kezelőorvosa fájdalomcsillapítót javasolhat.
Orvosi terápia. Orvosa olyan gyógyszert adhat Önnek, amely elősegíti a vesekő eltávolítását. Ez az alfa-blokkolóként ismert gyógyszer ellazítja az ureter izmait, és segít gyorsabban és kevesebb fájdalommal üríteni a vesekőt.
Nagy kövek és azok, amelyek tüneteket okoznak
Azok a vesekövek, amelyek nem kezelhetők konzervatív módszerekkel – akár azért, mert túl nagyok ahhoz, hogy önmagukban áthaladjanak, vagy azért, mert vérzést, vesekárosodást vagy folyamatos húgyúti fertőzést okoznak – invazívabb kezelést igényelhetnek. Az eljárások a következőket tartalmazhatják:
Vesekő zúzása- Hanghullámok használata kövek feltörésére – ultrahangos kezelés
Bizonyos vesekövek esetében – méretétől és helyétől függően – orvosa javasolhatja az extracorporalis lökéshullám litotripsziának (SWL) nevezett eljárást. Az SWL hanghullámokat használ erős rezgések (lökéshullámok) létrehozására, amelyek a köveket apró darabokra bontják, amelyek a vizelettel távozhatnak. Az eljárás körülbelül 45-60 percig tart, és mérsékelt fájdalmat okozhat, ezért előfordulhat, hogy altatásban vagy enyhe érzéstelenítésben részesül, hogy jól érezze magát. Az SWL vérzést okozhat a vizeletben, zúzódásokat a háton vagy a hason, vérzést a vese és más szomszédos szervek körül, és kellemetlen érzést okozhat, amikor a kődarabok áthaladnak a húgyúton.
Ha a bordák közötti, vagy csípő és alhasi fájdalmakat érez, elképzelhető, hogy kő vagy homok keletkezett a vesékben. Az epehólyag kő és homok más jellegű fájdalmakkal figyelmeztet, mint pl. jobb alsó bordáknál érzett bizsergés, gyomorfájdalom, keserű szájíz, hányinger és fejfájás., Ha erős, nem múló és már gyakoriak, ezek a fájdalmak mindenképpen beszéljen szakorvossal. Ha vizsgálatok által még láthatatlan, vagy beavatkozás nem szükséges, akkor sok természetes módszer létezik a megelőzésre és kezelésükre.
Cordyceps vesekő ellen

A cordyceps, másnéven kínai hernyógomba rendszeres fogyasztásával csökkenthető a vér LDL koleszterinszintje, hozzájárul az erek egészségéhez, ruganyosan tartásához, az szív- és érrendszeri betegségek megelőzéséhez.
A cordyceps kiváló vérnyomás szabályozó, javítja a májfunkciókat, támogatja a méregtelenítésért felelős kiválasztó szerveket, mint a vese. Fogyasztásával könnyebben elkerülhető a vesehomok és a vesekő kialakulása. Nyugtató hatást gyakorol az idegrendszerre, elősegíti a nyugodt, pihentető alvást.
Egy természetes népi receptet mutatunk most be vese- epekövek és homok által keletkezett fájdalmakra.
Szükséges összetevők:
- 250 g cukor
- 250 gramm petrezselyemgyökér
- 250 gramm citrom
- 250 g méz
- 2,5 dl extra szűz olaj
Elkészítése:
A citromokat alaposan tisztítsuk meg a kezelőanyagoktól, majd daraboljuk fel héjával együtt és tegyük egy turmix gépbe vagy aprítóba, kissé zúzzuk vele össze. Hámozzuk és mossuk meg a fehér répát, szintén daraboljuk és adjuk a citromhoz, vegyítsük tovább és legvégül az összes többi hozzávalóval addig keverjük, amíg teljesen homogén, sima textúrájú masszát nem kapunk. Ezt tároljuk zárható üvegben, hűtőszekrényben.
Fogyasztása:
Naponta 1 evőkanálnyit felkelés előtt éhgyomorra, valamint lefekvés előtt, de jóval az étkezés után, szinte üres gyomorra.
Ha úgy érzi javul az állapot, de nem szűnik, emelje napi 2×2 evőkanálnyira.
Kis mennyiségű fogyasztása heteken belül javítja állapotát. Amellett, hogy hatékonyan oldja a vese és epehólyag követ, és számos egyéb jótékony hatása is van.
Reméljük, a cikk elnyerte a tetszésed és nem felejted el, hogy megoszd a barátaiddal és családtagjaiddal is. Köszönjük.







